Se realiza en torno a la semana 36. Es la última ecografía que habitualmente realizamos a la paciente, con independencia de que por circunstancias sea necesario realizar alguna otra ecografía con posterioridad
En esta ecografía se realiza una valoración de la posición fetal, situación y presentación.
Estos datos son muy importantes de cara al parto, ya que pueden condicionar la vía del mismo.
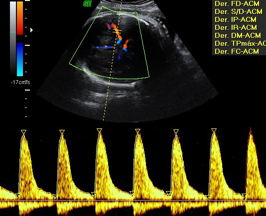
Se realiza una nueva evaluación de la circulación cerebral y umbilical.
Igualmente se realiza un repaso de la morfología fetal, así como de la estimación del peso fetal.




